Исправление прикуса любой сложности без брекетов и без боли
- Лечение сустава на элайнерах
- Пара элайнеров 4700 р.
- Рассрочка на период лечения
Тихон Леонидович Новиков. Главный врач клиники DoReMi. Врач-ортопед. Гнатолог. Опыт работы более 10 лет!
м. Владыкино, ул. Ботаническая, д. 33В стр. 1
Клиника DoReMi
Получите консультацию ортодонта и сертификат на 3000р. на первый прием
Акция действует только до 15 июня
Доктор проведет осмотр, сканирование зубов, фотопротокол, расскажет вам о вариантах лечения.
Почему именно элайнеры?
Какие проблемы они способны решить, и в чем их преимущества:
Исправят любой прикус
Сегодня элайнеры не уступают брекетам по эффективности, а иногда даже превосходят. Какая бы ни была ситуация с вашим прикусом — элайнеры её решат!
Эстетичны и незаметны
Элайнеры практически невидимы для глаз окружающих, чего точно нельзя сказать о брекетах. Носить их также удобно, как контактные линзы. Вставил — и забыл.
Удобны и комфортны
В отличии от брекетов с элайнерами можно есть все, что угодно, главное - снимать их на время еды и потом надевать обратно.
Лечение прогнозируемо
Благодаря цифровым технологиям мы покажем вам, как будет изменяться ваш прикус на протяжении лечения. И можем гарантировать результат.
1
2
3
4
Брекеты #1
Практически непредсказуемы. Вы не будете знать, ни какое количество времени понадобится на лечение, ни какой будет результат по итогу.
Элайнеры #1
Результат будет известен заранее. Мы отсканируем каждый зуб и покажем, как они будут двигаться на протяжении лечения, и какой результат будет в конце.
Брекеты #2
Комфорт - это совершенно не про брекеты. Они очень часто царапают слизистую. А еще, гигиена с брекетами очень сложна, и в связи с этим будьте готовы лечить кариес после исправления прикуса!
Элайнеры #2
Элайнеры позволят вам сохранить привычный образ жизни. За ними легко ухаживать и ваш личный уход за зубами практически не изменится.
Брекеты #3
Любите яблоки или орехи — забудьте о них! При ношении брекетов есть большой список продуктов, от которых придется отказаться на несколько лет, до самого окончания лечения.
Элайнеры #3
Никаких ограничений по еде! Ешьте все, что захотите! Просто снимите элайнеры на время еды, а потом наденьте обратно!
Записаться на консультацию
О DoReMi
99% положительных отзывов от благодарных пациентов, прошедших курс лечения на элайнерах
ТОП-6 причин, почему обращаются именно к нам:
Беремся за любые случаи
1
Гарантируем результат
2
Решаем вопрос комплексно
3
Предоставляем рассрочку
4
Фиксируем цену на все лечение
5
Даже если Вам отказали в лечении на элайнерах в другой клинике — мы сможем Вам помочь! Более 50% наших пациентов приходят к нам с других клиник!
Мы используем самые передовые технологии, благодаря которым мы можем спрогнозировать, как каждый отдельный этап, так и результат всего лечения.
Большинство клиник стремится закрыть только вопрос эстетики, забывая, что зубы должны ещё жевать и кусать. Мы стремимся сделать зубы и здоровыми и красивыми.
Мы понимаем, что основная причина, почему люди откладывают лечение — это деньги. Мы даем рассрочку от клиники, чтобы вы могли платить по факту лечения.
Приходя к нам вы можете быть уверены, что цена не изменится! Никаких скрытых платежей или дополнительных услуг. Точная цена фиксируется ДО НАЧАЛА ЛЕЧЕНИЯ!
Производим элайнеры сами
6
Наша лаборатория позволяет нам изготавливать элайнеры в срок. Если у вас потеряется элайнер, вы получите новый в течение 3х дней.
Как проходит лечение?
Тщательная диагностика - залог успеха
  • Мы делаем фотографии и сканы, тщательно анализируем КТ
  • Делаем презентацию с подробным описанием проблем и способов их решения
  • Главный ортодонт записывает видео с подробным объяснением каждого слайда
  • Диагностика занимает всего 7 дней с момента КТ
  • На повторной консультации вы сможете задать любые вопросы доктору!
Клинчек
  • Цифровое планирование перемещений зубов
  • Клинчек тоже самое, что купить брекеты
  • На этом этапе закладывается точное финальное положение ваших зубов
  • Перед фиксацией первых элайнеров доктор покажет вам, как будут перемещаться ваши зубы
Фиксация аттачментов
  • Аттачменты - маленькие прозрачные замочки, которые помогают элайнеру двигать зубы правильно, без них точность перемещений сильно падает
  • После фиксации аттачментов начинается лечение и мы выдаём вам первые 6 пар элайнеров
Плановые приёмы
  • Приходить нужно раз в 2 месяца
  • Выдаём следующий комплект элайнеров (как правило по 6 пар)
  • Каждая пара носится 10 - 14 дней
  • 6-ти пар хватает на 2 месяца
Снятие аттачментов и установка ретейнера
  • Чтобы сохранить результат лечения необходимо зафиксировать зубы, потому что иначе язык и щеки сдвинут все на прежнее место
  • Мы ставим ретейнеры и выдаем 2 комплекта специальных капп, чтобы вы могли сохранить результат на долго
  • После снятия вы можете втечение 2х лет приходить к нам в любое время и проходить осмотры или получать новые ретенционные каппы бесплатно
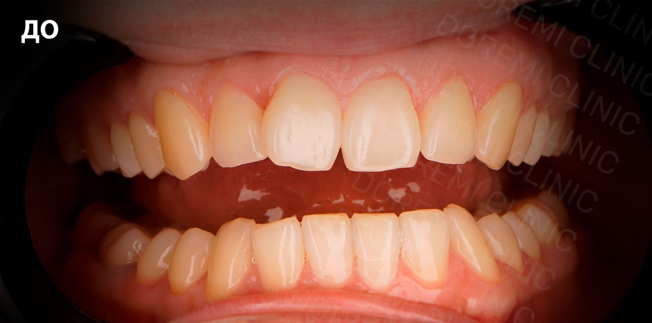
Клинические случаи:
  • Улыбка - прекрасна
  • Исправили за 1,5 года
  • Уложились в бюджет
Жалобы пациента:
Пациентке не нравились позиции нескольких зубов. Также диагностика показала неправильное смыкание левого ряда.
  • Не нравилась улыбка
  • Хотелось сделать быстро
  • Бюджет ограничен
Выправили положение нижней челюсти, а также исправили неправильный прикус с помощью элайнеров и 2 мини-винтов, избежав хирургического вмешательства.
Как решили проблему:
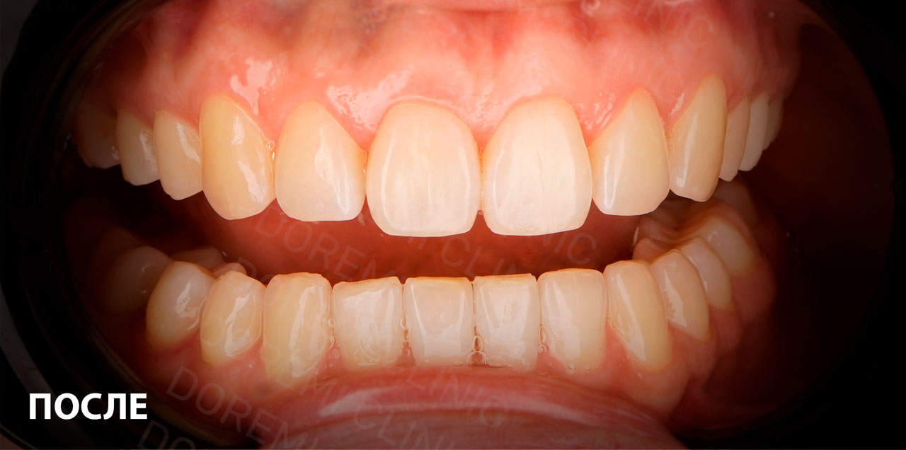
Клинические случаи:
  • Улыбка - прекрасна
  • Исправили за 1 год
  • Убрали все проблемы
Жалобы пациента:
Пациентка пришла с хрустом в височно-нижнечелюстном суставе, а также в "десневой" улыбкой (когда видно не только зубы, но и десну)
  • Не нравилась улыбка
  • Хрустела челюсть
  • Дискомфорт
Исправили прикус сразу под будущие коронки с помощью элайнеров и всего за 1 год избавились от десневой улыбки. Далее установив коронки убрали все проблемы ВНЧС
Как решили проблему:
Получите сертификат на 3000 рублей на первое посещение!
Можете использовать сами, а можете подарить близкому человеку!
Оставьте свой номер телефона для связи и получения сертификата. Подробности по ссылке.
Контактная информация
+7 (495) 182-04-11
г. Москва, ул. Ботаническая, д. 33В, стр. 1